專業剖析
若運動中突然過度伸延伸及外翻膝蓋,可致韌帶撕裂。因此任何衝撞性的運動,均可導致受傷。根據香港大學的統計,導致最多香港人前十字韌帶撕裂的運動為足球,其次為籃球。
急性:
部份病人可能聽到「噗」響聲,膝關節感到劇痛和腫脹,以致不能繼續參與正在進行的運動。
慢性:
於運動中膝關節感到不穩定,特別是一些衝撞性,急速轉向的劇烈運動.有「發軟蹄」(give way)的現象。
較嚴重者於日常生活也有機會出現以上病徵。
病者下肢肌肉,尤其是四頭肌會特別容易萎縮。
臨床:
前抽屜測試(anterior drawer test):病人膝蓋屈曲90度,醫生會用一隻手穩定股骨,另外一隻手則緊握脛骨然後向前拉,以檢查膝關節前後的穩定性。
Lachman Test:
與前抽屜測試類似,但病人膝蓋只需屈曲約30度。
樞軸轉移測試(Pivot Shift Test):
醫生會用一隻手握住患者下肢,伸直膝關節,用力外翻並內旋膝關節,使關節有輕微脫位;然後醫生會慢慢屈曲膝關節,約30度時脫位的脛骨如復位並出現明顯的反跳(clunk),即為陽性,表示前十字韌帶,尤後外束已完全斷裂,準確可達九成。
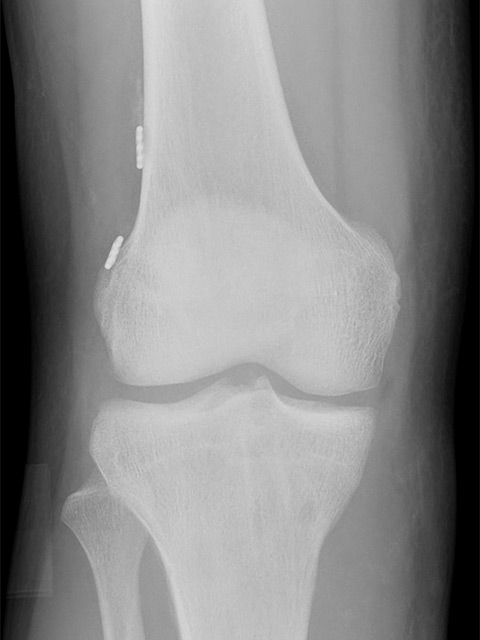
X光:
可排除骨折或有碎骨於關節內。
磁力共振:
診斷十字韌帶撕裂的準確率可超過九成,也可為其他膝組織如半月板受傷提供相關之資料。
保守治療:
但由於前十字韌帶的特別生理構造,自我癒合能力很低。
保守治療等的成功率約有三成。
手術治療:
研究顯示膝關節如缺乏前十字韌帶,半月板及軟骨受傷機會將大大增加,繼而導致關節過早退化。因此如患者年輕及活躍於運動,醫生多會建議手術。但如前題所述,前十字韌帶的生理構造特別,直接修補如縫針失敗率非常高,因此一般需作重建。
前十字韌帶重建手術是十分普遍,技術也很成熟的手術。
單在美國每年便有超過十萬宗手術個案。
成功率可超過九成,即經過手術後病人均感到滿意及重回運動。
重建十字韌帶手術材料的移植物有兩種
移植物準備後,醫生會用微創方法,於大小腿骨各鑽一條隧道,把移植物帶進骨隧道,並成為新重建之十字韌帶.為了穩定新重建之十字韌帶,醫生需放一些金屬或可吸收的植入物於大小腿骨內,常用的植入物有:


問:重建十字韌帶手術材料髕骨肌腱還是腿後肌肌腱好?
答:各有好處。
髕骨肌腱的好處:由於骨與骨癒合比較牢固,膝蓋於術後會比腿後肌肌腱略為穩定,但一般人於運動中未必能察覺此絲毫的分別。
髕骨肌腱的壞處:由於需從髕骨末端及脛骨各邊取約2公分的骨,有達三成的病人於術後持續受前膝痛楚困擾。
腿後肌肌腱好處:相對痛楚較低,沒有持續性前膝痛楚之問題。
腿後肌肌腱壞處:骨與肌腱癒合需時較長。
問:何謂雙束前十字韌帶重建?
答:一些研究發現十字韌帶乃由兩束組織構成,內前束負責前後的穩定性,外後束更負責旋轉之穩定性.於近十年開始流行用手術完全重建此兩束十字韌帶.醫生於準備兩條屍筋,或取下病人兩條腿後肌肌腱後,便於大小腿骨各鑽兩條隧道(註:單束十字韌帶重建只各鑽一條隧道),把兩條肌腱帶進兩條骨隧道中。
雙束十字韌帶重建理論上能提供更佳之膝蓋旋轉穩定性,但一些研究發現單束與雙束十字韌帶重建並無分別。

相關疾病病徵